HE染色 TRAP染色 免疫组化 免疫荧光 TUNEL 原位杂交 切片扫描 病理分析
  • 首页
  • 技术服务
    组织病理 分子病理 病理影像 读片分析 基因组学 蛋白组学 生化检测 细胞生物学 超微病理
  • 产品中心
    抗体 试剂 耗材 仪器
  • 资料中心
  • 实验管理系统
    实验进展查询系统 切片浏览系统
  • 服务流程
  • 实验图库
  • 客户案例
  • 百奥斯在身边
  • 关于我们
    企业介绍 资质荣誉 工作场景 硬件设备 新闻动态 市场活动 招贤纳士 联系我们 留言板

HE染色

  • HE染色
  • 组织芯片HE染色

特殊染色

  • 甲苯胺蓝染色
  • 番红固绿染色
  • 天狼星红染色
  • 六胺银染色
  • 普鲁士蓝染色
  • 硝酸银染色
  • EVG染色
  • LFB染色
  • 阿利新蓝染色
  • 油红O染色
  • 茜素红染色
  • Masson染色
  • TRAP染色
  • ALP染色
  • PAS染色
  • AB-PAS染色

电镜检测

  • 扫描电镜
  • 透射电镜

免疫组化

  • 免疫组化单标
  • 免疫组化双标
  • 组织芯片免疫组化

免疫荧光

  • 免疫荧光单标
  • 免疫荧光双标
  • 免疫荧光三标
  • 组织芯片免疫荧光
  • 鬼笔环肽染色

TUNEL

  • TUNEL+抗体
  • TUNEL(DAB)
  • TUNEL(荧光)

共聚焦拍照

  • 共聚焦拍照单标
  1. 实验图库
  2. 免疫组化单标
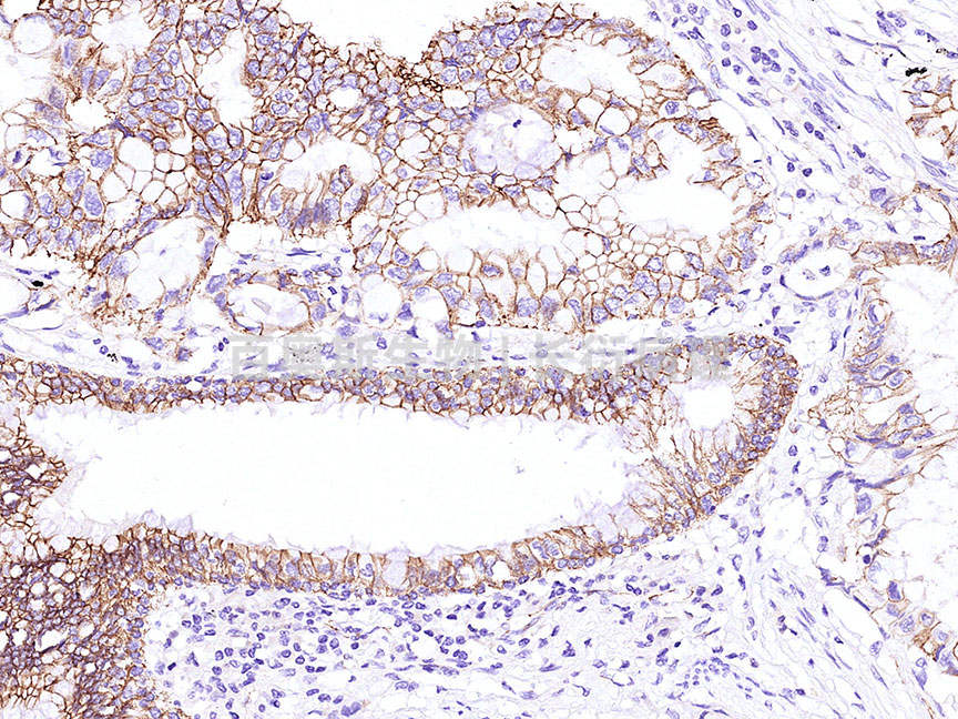
  3. β-catenin

免疫组化单标

项目名称 种属 样本
β-catenin 人 肺腺癌

β-catenin---人-肺腺癌---86底板.jpg

服务城市:北京、上海、广州、天津、南京、石家庄、杭州、成都、长沙、武汉、合肥、蚌埠、深圳、苏州、重庆、郑州、西安、宁波、佛山、青岛、厦门、济南、哈尔滨

总部地址:湖北省武汉市江汉区江兴路18号2号楼第5、6层 邮箱:support@biossci.com 服务监督电话:138 8601 4838

本公司提供服务和产品仅用于科学研究等非医疗目的,不可用于人类或动物的临床诊断或者治疗,非药用,非食用。

关注百奥斯公众号

打开百奥斯小程序

病理学
组织脱钙 标本包埋 防脱切片 HE染色 特殊染色 组织芯片 免疫组化 免疫荧光 TUNEL 原位杂交 病理影像 读片分析 透射电镜 扫描电镜
基因组学
DNA RNA 质粒提取 载体构建 引物设计 SNPs分析
蛋白与生化
Western Blot 电泳 明胶酶谱 Co-IP EMSA ELISA 生化检测
细胞生物学
细胞培养 细胞划痕 Transwell 细胞增值与毒性 细胞转染 SiRNA实验 流式检测
友情链接: 国家自然科学基金委员会 丁香园
Copyright © 2024 百奥斯生物 All Rights Reserved 鄂ICP备14010430号-2

鄂公网安备 42010402001359号


  • 在线预约

  • 服务热线

    400-118-0100

  • 微信咨询


  • 回到顶部